歯周病治療について

歯ぐきの出血や腫れは
歯周病のサインかもしれません
歯ぐきの腫れや出血、歯のグラつきは、歯周病の可能性があります。初期段階では自覚症状が出にくいため、気づかないうちに進行してしまうことも。当院では、歯ぐきの状態や歯周ポケットの深さを丁寧に確認し、クリーニングや歯石除去、必要に応じて外科的な処置も検討し、症状の改善を目指します。
こんな場合はご相談ください
- 歯ぐきが赤く腫れている
- お口の中がネバついている
- 歯みがきの時に血が出る
- 口臭が気になる
- 歯ぐきが下がってきた
- 歯が長くなった気がする
- 歯がグラグラしている
- 硬いものが噛めない
当院の歯周病治療

気づきにくい変化もしっかり確認
当院では、光線の位相差をコントラストに変換して観察できる位相差顕微鏡を用いて細菌検査を行っています。位相差顕微鏡を使うことで、歯周病の原因となる細菌を動きのある状態で確認でき、お口の中の現状をより具体的に把握しやすくなります。また、初期の変化にも気づきやすくなるため、早い段階で治療を進めることができます。

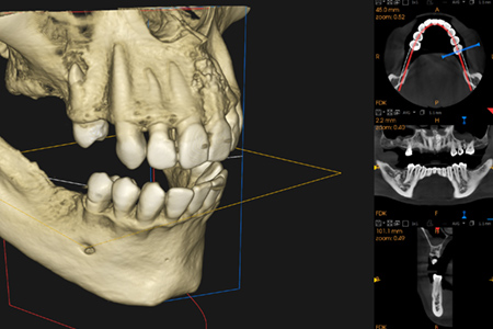
より良い診断のために
歯科用CT診断を活用
当院では歯や顎の骨の状態を立体的に確認できる歯科用CTを活用し、丁寧で正確な診断を心がけています。歯周病の状態を正確に把握することで、患者さんと相談しながら治療の方針を決めていきます。必要な治療、不要な治療をしっかりとご相談させていただきます。
治療内容
スケーリング

専用の超音波器具(NSK製)を使って、歯の表面や歯と歯ぐきの間にたまった歯石や歯垢、汚れを取り除くケアです。特に、歯石は歯ブラシによるブラッシングや歯みがきだけでは落とすことが困難です。歯ぐきの炎症を和らげ、歯周病の予防や症状を改善するためにも、定期的にスケーリングを行いましょう。
SRP

歯ぐきの中に入り込んだ歯石や汚れを取り除くスケーリングと、歯の根の表面をなめらかに整えるルートプレーニングを組み合わせたもので、歯周ポケットの中の環境を整えます。初期から進行した歯周病まで、幅広い段階で行われることが多く、歯ぐきの腫れや炎症を和らげるための一つの手段です。
歯周外科処置

歯周病が進行してスケーリングやSRPだけでは改善が難しい場合に行われる外科的な治療のことを指します。麻酔をしたうえで歯ぐきを切開して一時的に開き、歯石や汚れを取り除くフラップ法を行い、専用の薬剤(リグロス)を使って骨の再生を促す再生療法を取り入れながら治療を進めていきます。
内服

歯ぐきの腫れや痛み、出血が気になる場合や、細菌の感染が広がっていると判断された際には、抗生物質や抗菌薬を使った内服治療を行うことがあります。お口の中だけでは届きにくい部分にもアプローチできるため、歯周組織の炎症を和らげる補助的な役割を果たします。
歯周病と全身疾患の関係
早めの歯周病予防・治療で、
全身の健康リスクを減らしましょう
歯周病は初期に自覚症状が少なく、気づかないうちに進行しやすい病気です。歯と歯ぐきのすき間に細菌がたまることで炎症を起こし、初期は歯ぐきの赤みやブラッシング時の出血が見られます。進行すると歯ぐきが下がり、歯が長く見えたりグラついたりします。重度になると歯を支える骨が溶け、自然に歯が抜けることもあり、大人が歯を失う主な原因の一つとされています。
さらに、歯周病菌は歯ぐきの血管を通して血流に入り込み、心筋梗塞や脳梗塞、糖尿病、誤嚥性肺炎など全身の疾患リスクを高めることが近年の研究でわかっています。特に糖尿病のかたは症状が悪化しやすいため、お口の健康管理は全身の健康にもつながります。
「歯ぐきの腫れ」「口のネバつき」「歯のしみやグラつき」などの症状があれば、早めに検査を受けてください。早期の発見・予防と継続的なメンテナンスが、歯と全身の健康を守る鍵となります。


連携医療機関と協力し
全身疾患のリスクを減らします
日本糖尿病協会認定糖尿病認定医の歯科医師が、患者さんの全身の健康予防をお手伝いいたします。医科と歯科が連携し、連携医療機関とも協力しながら、周術期の管理を含めた幅広いケアを行います。こうした取り組みを通じて、歯周病が原因となって起こりうる全身疾患への影響をできるだけ抑えることを目指しています。

歯周病が気になる妊婦さんへ
早めのチェックがおすすめです
歯周病は、お口の炎症が全身に影響を与えることがあり、早産のリスクを高める場合があると言われています。原因となる菌や炎症物質が血流に乗って子宮に届き、子宮の収縮を引き起こす可能性があるためです。当院では、妊娠期の専門的な口腔ケアを提供しており、妊婦歯科健康診査にも対応しています。歯周病のチェックを希望されるかたは、どうぞお気軽にご相談ください。