一般歯科について

むし歯・歯周病から予防まで
幅広くご相談いただけます
むし歯や歯周病治療をはじめ、歯のクリーニングや定期検診など、お口の健康を幅広くサポートいたします。お口の状態は人それぞれ異なりますので、一人ひとりの症状やお悩みを伺いながら、患者さんに合った治療方法をご提案します。気になる症状や不安なことがあれば、どうぞお気軽にご相談ください。
こんな場合はご相談ください
- 歯が痛い
- 口内がネバネバする
- 歯がしみる
- 口臭が気になる
- 歯ぐきが腫れている
- むし歯があるか気になる
- 歯ぐきから血が出ている
- 口内をチェックしてほしい
当院の一般歯科

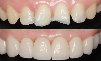
治療前後は必ずお写真で確認
ご自身の変化がわかります
治療の前後には、お口の中の写真を撮影し、その画像をもとに現在の状態や治療内容について丁寧にご説明いたします。治療のビフォーアフター写真を実際にご覧いただくことで、どのような変化があったのかをご自身の目で確認していただけます。ご不安な点や気になることがあれば、どうぞお気軽にご相談ください。
むし歯治療について

細やかな工夫で治療中の負担を軽減
治療中の痛みを軽減するための取り組みとして、表面麻酔や電動麻酔、歯科用としては極めて細い35Gの極細麻酔針などを使用します。麻酔注射を行う際のチクッとした刺激を和らげ、治療中の痛みやご負担を軽減できるような工夫を取り入れました。歯の治療に対して「痛そう…」と不安に思い、受診をためらってしまうかたもいらっしゃいますが、まずはお気軽にご相談ください。
痛みを軽減するための取り組み

表面麻酔
歯ぐきや粘膜の表面に直接塗るタイプの麻酔です。麻酔注射の前処置としても使われ、注射時の痛みを抑えます。お子さんにもお使いいただけます。

電動麻酔
コンピューター制御によって麻酔液を一定の速度と圧力で注入できる麻酔器です。手動注射に比べて圧力のムラが少なく、痛みや違和感を軽減します。

極細麻酔針
当院が使用する麻酔針は、歯科用麻酔針の中でも特に細い部類に入ります。針が細いため、皮膚や粘膜への刺激が少ないのが特徴です。

歯型取り不要・削る量も少ない
むし歯治療
にじの森歯科クリニックでは、「MI(ミニマルインターベンション)」という、歯への負担をできる限り抑える治療方針を採用しています。従来の方法に比べて健康な歯を多く残せるため、将来の歯の寿命を延ばすことにもつながります。小さなむし歯や銀歯の再治療では、「ダイレクトボンディング」という治療法をご提案しています。削る量を抑えることで、型取り(印象)も必要なく、その日のうちに治療を完了できます。
「できるだけ削らない」「歯を残す」むし歯治療で、あなたの大切な歯を守ります。
当院の取り組み

5倍速コントラ
モーターの回転速度を約5倍に増幅した歯を削るための歯科用ハンドピースです。回転時の音が静かで、振動を抑えられるという特徴があります。

カリエスチェッカー
むし歯になった部分を視覚的にわかりやすくするための染め出し液です。必要な範囲だけをしっかりと把握し、削りすぎを防ぐことができます。

ダイアグノデント
レーザー光を使って歯の表面や内部にあるむし歯を数値で測定できる機器です。目では見えにくい初期のむし歯や、小さなむし歯の進行具合を数値化します。

ダイレクトボンディングも可能です
ダイレクトボンディングとは、むし歯や欠けた歯に歯科用の樹脂(レジン)を直接盛りつけて、形を整えながら修復していく高品質のむし歯治療です。従来の詰め物や被せ物のように型取り(印象)を行う必要がなく、通常の補綴治療と比べても、歯を削る量を減らすことができるのが特徴です。そのため、多くの場合は1回の通院で治療が完了します。短期間で治療を終わらせたいかたは、ぜひご検討ください。
根管治療について

進行してしまったむし歯に対して
根管治療で歯を残す選択ができます
歯の根を治療することであり、むし歯が進行して歯の内部や根元まで感染が進んでいる場合に根管治療を行います。歯の内部や根元は細かく複雑な構造をしているため、精度の高い治療が必要です。当院では根管治療に対応しており、各種設備を活用して質の高い治療をご提供いたします。
こんな場合はご相談ください
- 歯の根元が痛い
- 他院で抜歯と言われた
- 放置しているむし歯がある
- 治療したむし歯が再発した
- 膿が出ている

歯科用CT
治療箇所をより正確に特定するために、当院では歯科用CTを使用し、歯や骨の詳細な3Dデータを取得しています。

拡大鏡
肉眼では見えにくい細かい部分を拡大して確認できる医療用の眼鏡型装置です。肉眼よりも歯の状態を細部まで正確に捉えることができます。

マイクロスコープ
歯の内部や根管は複雑に入り組んでいるため、当院ではマイクロスコープを用いて視野を数倍から数十倍に拡大し、精密な治療を可能にしています。

ラバーダム防湿
治療中の患部に唾液が触れることによる二次感染リスクを防ぐために、当院ではラバーダムを使い、唾液の付着をしっかり防いでいます。

Nitiファイル
根管内の感染部分を取り除くため、柔軟性に優れたニッケルチタン(NiTi)ファイルを使い、細部まで丁寧に治療を行います。

根管拡大装置(トライオート)
治療を迅速かつ安全に実施できる高性能モーターです。電動制御のため、感染部分をより正確に除去し、患部の無菌状態を作り上げます。
口腔外科について

ついつい放置してしまう親知らずや
顎の痛み、まずはご相談ください
お口まわりのけがや顎の痛み、親知らずのトラブルなど、歯科疾患以外の症状は口腔外科へご相談ください。口腔外科では、親知らずの抜歯をはじめ、顎関節症やお口の中のできもの・炎症、事故などによる外傷まで、幅広いお口のトラブルに対応しています。専門的な知識や技術をもとに、お口まわりの状態を丁寧に診ながら、症状に合った治療をご提案いたします。
こんな場合はご相談ください
- 親知らずが痛い
- できものやしこりができた
- 親知らずがむし歯になった
- お口まわりをけがした
- 顎からカクカク音がする
- 口内炎を治したい
- お口が開けにくい
- インプラントを検討している
当院の口腔外科

安心して受けられる特別診療室
親知らずの抜歯やインプラント治療といった、オペなどの専門治療が必要な場合では、患者さんの安全と安心を第一に考え、設備の整った特別診療室を設けました。ほかの患者さんと接することのない個室タイプのお部屋で、まわりの目を気にする心配はありません。患者さんに安心して治療を受けていただけるよう、安全面への配慮はもちろん、気持ちに寄り添った落ち着いた空間づくりを心がけています。

立体画像で丁寧に検査・診断します
当院では、歯や顎の骨の状態を立体的に把握できる歯科用CTを使用して、より丁寧な検査・診断を実施しています。肉眼では見えにくい部分まで確認しやすく、親知らずの抜歯やインプラント治療、根の治療などにも活用されています。平面的なレントゲンでは見逃しやすい病変や炎症なども、歯科用CT画像なら発見しやすくなり、症状が出る前の小さな変化にも気づきやすくなります。
治療内容

インプラント
歯を失った部分に人工歯根(インプラント)を埋め込み、その上に人工の歯を取りつける治療方法です。噛む力をしっかり回復できることに加え、見た目も天然の歯に近づけやすいことが特徴です。また、周囲の健康な歯を削らずに治療を進められる点もメリットとして挙げられます。
親知らずの抜歯
生えるスペースが足りず、斜めや横向きに生えている場合、そのままにしておくと腫れや痛みが出るため、抜歯をしてトラブルを防ぎます。
顎関節症
顎の関節や周囲の筋肉に、痛み・違和感が生じる状態を指します。お口が開けにくくなったり、顎を動かすとカクカク音が鳴ったりするケースもあります。
粘膜疾患
舌や歯肉に痛みや赤み、白い斑点などが現れる症状です。繰り返したり長引いたりする場合は、口腔内の病気が隠れている可能性があります。
歯根端切除術
根の先にたまった膿や炎症を取り除くための外科的な治療です。通常の根管治療だけでは十分な改善が見込めない場合に行います。
小帯異常
舌や唇の裏側にある筋のようなヒダを「小帯」と呼びます。小帯の位置や長さに異常があると、発音や歯並びに影響が出ることもあります。
口内炎(再発性アフタ)
繰り返しできる小さな潰瘍で、頬の内側や舌、唇の裏側などに白っぽい円形の傷ができます。疲れやストレスなどが原因とされています。