審美治療について

美しい口元で
もっと自分らしく
口元の見た目に関するお悩みは、年齢や性別を問わず多くのかたが抱えています。「前歯のすき間が気になる」「歯の色や形を整えたい」「銀歯を白い歯に変えたい」など、その内容はさまざまです。審美治療は、見た目の美しさだけでなく、噛み合わせや精密な適合にも配慮し、自然でバランスのとれた仕上がりを目指す治療です。にじの森歯科クリニックでは、「ただ治す」だけでなく、治療した歯を美しく、そして長く保つことを大切にしています。そのために、経験豊富な歯科技工士と連携し、質の高い治療をご提供します。
こんな場合はご相談ください
- 前歯のすきっ歯が気になる
- 銀歯が目立っている
- 歯と歯の間が空いている
- 欠けた歯を自然に整えたい
- 歯並びが気になる
- 口元の印象を変えたい
- 歯の色を白くしたい
- 大切なイベントを控えている
当院の審美治療
オールセラミック
マイクロスコープ治療
細部にまでこだわった
超精密セラミック治療
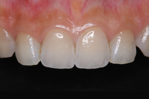
当院では、見た目の美しさと機能性の両立を目指し、オールセラミックによる補綴治療に力を入れています。天然歯のような透明感のある仕上がりは、前歯はもちろん、奥歯でも自然な印象を保つことができます。
さらに、治療の質を高めるために、全ての補綴処置にマイクロスコープ(歯科用顕微鏡)を活用。肉眼では確認が難しい歯との境目まで正確に調整し、補綴物との適合精度を高めています。これにより、すき間からの細菌侵入やむし歯の再発リスクを抑えることが可能です。

歯科技工士と相談しながら
自然な仕上がりを目指せます
当院のセラミック治療では、歯科技工士立ち会いのもと、形や色味について直接ご相談いただけます。患者さん一人ひとりのご希望をお伺いしながら、より自然な仕上がりを目指して細かな調整を行います。仕上がりがイメージと異なる場合も、色味の調整や再作製に対応しておりますので、安心してご相談ください。

安心の5年保証制度付き
当院では、一定期間の保証を提供するガイドデントを導入しており、治療後も長く安心して通っていただける環境づくりを心がけています。少しでも多くの患者さんに笑顔でいてほしいという考えから、5年間の保証制度をご案内しております。万が一トラブルが起きた場合でも、一定の条件を満たしていれば、無償または一部ご負担で再治療に対応できるため、安心して審美治療に踏み切っていただけます。
メタルフリー治療について

金属アレルギーが気になるかたは
メタルフリー治療がおすすめです
金属を使わないメタルフリー治療は、見た目の自然さに加えて、お口全体の健康にも配慮された治療方法です。従来の金属を使った治療では、時間が経つにつれて歯ぐきの黒ずみが目立ち、金属アレルギーのリスクが心配されることもあります。その点、メタルフリー素材は歯ぐきとなじみやすく、汚れ(プラーク)がつきにくい性質があるため、口元の見た目を損なわずに仕上げることができます。
こんな場合はご相談ください
- 金属アレルギーがある
- 詰め物が劣化してきた
- 自然な見た目にしたい
- 被せ物が劣化してきた
- 歯ぐきの黒ずみが気になる
- お口の清潔感を保ちたい
- 銀歯を白いものに変えたい
- 第一印象を大切にしたい
詰め物・被せ物の種類
オールセラミック
天然の歯に近い透明感、しなやかさ・耐久性を持つセラミック素材で作られた詰め物や被せ物のことを指します。金属を使用していないため、歯ぐきが黒ずみにくく、自然な白さや透明感を長期間保ちやすいのが特徴です。金属アレルギーをお持ちのかたにもご使用いただける素材で、前歯など見た目が気になる部分の治療をご希望されるかたに多く選ばれています。
ジルコニア
セラミック素材の中でも特に耐久性と見た目の美しさに配慮された素材です。人工ダイヤモンドに例えられることもあるほど強度があり、酸にも強く、長期間使用しても劣化しにくいとされています。自然な白さがありながらしっかりとした硬さを持っているため、噛む力がかかりやすい奥歯にも使いやすい素材として注目されています。
ジルコニアセラミック
ジルコニアとセラミックの2つの素材を組み合わせた素材です。ジルコニアが持つ強度や耐久性に加え、セラミックの柔らかな質感と見た目の美しさを兼ね備えています。歯の土台部分をジルコニアでしっかりと補強し、その外側にセラミックの層を重ねる構造にすることで、天然の歯に近い透明感と、日常生活に十分対応できる強度の両立が期待できます。
ラミネートべニア
薄いセラミック素材を歯の表面に貼り付け、見た目の美しさを整える治療です。歯の色調や形、すき間の修正に適しており、自然な色味を再現できます。また、処置時の歯を削る量も少なく、負担を抑えたうえで、短期間で審美性を向上できる点も特徴です。
オーバーレイ
奥歯などの表面(咬合面)や側面を部分的に覆う修復法で、むし歯の進行や噛み合わせによる歯のすり減りを補うために使われます。強度のある素材で歯の機能を回復しつつ、歯を削る量も抑えられるため、天然歯に近い自然な仕上がりと機能性が期待できます。
ダイレクトボンディングに
ついて

削る量を抑えた負担の少ない詰め物
健康な歯をできるだけ削らずに整えたいかたは、ダイレクトボンディングがおすすめです。歯ぐきのすき間やすきっ歯、前歯が小さいと感じる時などに、専用の樹脂(レジン)を必要な部分に直接盛り足して調整していきます。一般的な詰め物と比べて、歯を削る範囲が少ないため、歯にかかる負担を軽減しやすいのが特徴です。
ホワイトニングについて

毎日続けられる医療用の
ホームホワイトニング用ジェル
歯の色は、飲み物・食べ物による着色、そして加齢の影響によって、少しずつ黄ばんでいきます。この黄ばみは、毎日の歯みがきだけでは落とすことはできません。当院では、ご自宅で続けられるホームホワイトニングの方法として、「アンジェラス(過酸化尿素16%)」を採用しています。使い続けていただくことで、少しずつ歯が明るくなっていく効果を実感していただけます。薬機法に基づいた製品であることから、安全性も認められています。
こんな場合はご相談ください
- 歯の黄ばみが気になる
- 笑顔に自信を持ちたい
- 着色汚れを落としたい
- 大切なイベントを控えている
- 色がくすんできた
- 自宅でホワイトニングしたい
- 自然な白さを取り戻したい
- 印象を明るくしたい
ホワイトニングの種類

ホームホワイトニング
ご自宅でご自身のペースで進めていただけるホワイトニング方法です。専用の薬剤をお渡しして、少しずつ歯の色味を整えていきます。

オフィスホワイトニング
歯科医院で専用の薬剤や機械を使って歯を白くするホワイトニング方法です。効果を実感しやすく、比較的スピーディーに明るい歯を目指せます。

デュアルホワイトニング
ホームホワイトニングとオフィスホワイトニングを組み合わせたホワイトニング方法です。まず歯科医院でケアを行い、その後ご自宅でケアを続けます。
費用
料金表
審美補綴
詰め物(インレー)
セラミックインレー・ジルコニアインレー | 63,800円~110,000円 |
---|---|
被せ物(クラウン) | |
臼歯クラウン | 42,900円~132,000円 |
前歯クラウン | 75,900円~198,000円 |
ダイレクトボンディング
ダイレクトボンディング | 35,200円~63,800円 |
---|
ラミネートべニア
ラミネートべニア | 86,900円~0000円 |
---|---|
ラミネートべニア加算 | +10,000円 |
※表示金額は全て税込みです。
ホワイトニング
ホームホワイトニング | 19,800円~24,200円 |
---|---|
追加ジェル | 2,200円/1本 |
オフィスホワイトニング | 0000円 |
デュアルホワイトニング | 0000円 |
※表示金額は全て税込みです。
お支払方法
当院では、
下記のお支払方法が可能です。

現金
現金でのお支払い

銀行振込
振込でのお支払い

クレジットカード
※自費診療のみ
VISA/JCB/Mastercard/
など

デンタルローン
低金利分割払いでの
お支払い
医療費控除について
1年間(1月1日~12月31日)に10万円以上の医療費を支払った場合は、医療費控除によって一定の金額の所得控除を受けることができます。ご自身の支払いに限らず、生計を共にするご家族が支払った医療費も対象となります。詳しくは国税庁のホームページをご覧ください。
国税庁のホームページ注意点・リスク・副作用
<補綴治療>
・歯の形や噛み合わせを元通りにする治療ではありません。
・新しい噛み合わせに慣れるまでに時間がかかることがあります。
・補綴材料によってはアレルギーが出ることがあります。
・強い衝撃がかかると割れる可能性があります。
<ホワイトニング>
・ホワイトニングの程度の調整は困難かつ効果には個人差があり、白くなる程度の結果をお約束することはできません。
・均一な白さにならず、色むらが生じる場合があります。
・ホワイトニング効果には約6ヵ月以降で後戻りが生じることがあるため、追加ホワイトニングが望ましくなる場合があります。白さを維持するメンテナンスも大切です。
・むし歯や歯周病、着色・歯石・歯垢の沈着によってはすぐにホワイトニングができないことがあります。
・妊娠中や授乳中のかたのホワイトニングについては安全性が確立されていません。
・無カタラーゼ血症のかたにはホワイトニングができません。
・ホワイトニング治療期間には一時的に知覚過敏が生じることがあります。重度の知覚過敏のかたはホワイトニングには向いていません。
・人工歯や金属による変色歯はホワイトニングでは白くできません。
・薬物性の変色、神経を除去された歯はホワイトニング効果が出にくい場合が多いです。
・ホワイトニング中やホワイトニングしばらくは、色の濃い飲食でホワイトニング効果が落ちる場合があります。
・ホームホワイトニング用のマウスピースにより、一時的に歯ぐきに炎症が起こる場合があります。
・ホワイトニングは健康保険が効きませんので、自費診療となります。